Kidney Cancer

kidney stone disease 1

The kidneys are paired bean-shaped organs, found in the lower abdomen. They remove waste products from the body and clean blood. Cancer of the kidney, also called renal cancer is a condition in which cells of the kidney turn malignant, forming a tumour.

Types :

Based on the type of cells from which cancer is developed, the two common types of kidney cancer are present:

  • Renal cell carcinoma (RCC) – most common type, where the cancer starts in the lining of tubules that help filter blood and make urine.
  • Transitional cell carcinoma (TCC) – cancer starts in the cells that in the renal pelvis, where the kidney joins with the ureter. The same type of growth can occur in the entire urinary tract from renal pelvis, ureter, bladder and up-to urethral meatus as the cell lining are the same.

Risk Factors :

  • Smoking
  • Male Gender
  • Obesity
  • Prolonged use of pain killers
  • Genetic conditions like Von Hippel-Lindau or inherited papillary renal cell carcinoma Heredity
  • Exposure to chemicals

Symptoms :

  • Lump or pain in one side of abdomen
  • Blood in urine
  • Loss of appetite and weight loss
  • Anaemia and extreme tiredness
  • Swelling in legs and ankles

Diagnosis :

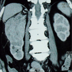
Large Kidney Tumour on CT Scan

  • Physical exam for lumps. fever, high blood pressure.
  • Urine and blood tests.
  • Ultrasound scan , CT Scan, MRI.
  • Renal arteriogram, Bone scan

The symptoms of cancer may not be typically seen in the patient

Sometimes they are detected during routine master health check up

Any change in urinary symptoms, abdominal, back pain or blood in the urine calls for full investigations

The purpose of testing is to diagnose and stage the Tumour :

Stage I – a tumour less than 7cm in the kidney.
Stage II – a tumour larger than 7cm in the kidney.
Stage III – a tumour in the kidney and nearby lymph nodes, main blood vessels and tissues.
Stage IV – cancer may spread to other organs through blood vessels and lymph nodes.

Treatment :

Treatment of choice is surgical removal of tumour containing kidney along with its surrounding fat and capsule. This is called Radical nephrectomy. This can be accomplished by laparoscopy method. Prognosis is very good when the diagnosis confirms early stage tumour.

If the tumour is small or if it is present in solitary kidney, local resection of tumour with surrounding tissue is done and is called partial nephrectomy.

When the tumour presents in advanced stage, immunotherapy and chemotherapy is given and may require palliative removal of kidney tumour also.

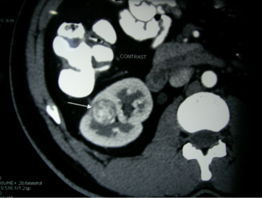
Small Kidney Tumour

Prognosis :

Prognosis and survival depends on varied factors like the type of cancer, the extent of spread of the disease etc.