Passing Blood In The Urine

kidney stone disease 1
  • Some food such as beetroot, certain drugs may stain the urine to orange colour but urine examination will not show any red blood corpuscles (RBC).
  • Blood in the urine can be painful or painless. Many times patient sees the blood in the urine (Macroscopic). Sometimes it is detected only by routine laboratory examination (Microscopichaematuria).
  • Both types of heamaturia are to be taken seriously and even one episode of haematuria needs complete evaluation to assess the cause and treat it.
  • Cancer is the common cause of haematuria in persons over the age of 50 years.

Causes Of Heamaturia are :

  • Stone
  • Cancer
  • Obstruction in the urinary tract
  • TB
  • Enlargement Of Prostate
  • Trauma
  • Nephritis

Bladder Tumor

Large Kidney Tumor

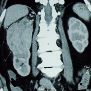
Kidney Stone

Enlarge Prostate